This antiperspirant foot lotion was specifically designed to stop sweaty, smelly feet and help you deal with excessive foot sweat. Just use a pea-sized am...
Weiss is also a Visual Artist shown in Los Angeles as well as a Playwright and Theater Director. He recently directed the play "The Pornographers Daughter...
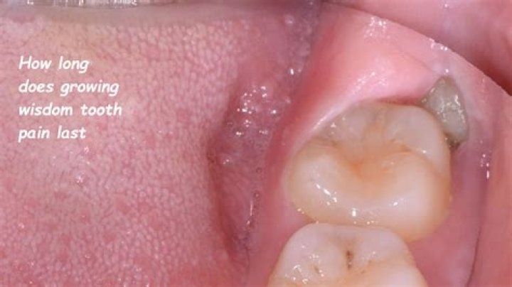
If cared for properly, your teeth can last a lifetime. Your mouth changes as you age. The nerves in your teeth can become smaller, making your teeth less ...
Harry Potter is a series of seven fantasy novels written by British author J. K. Rowling. The novels chronicle the lives of a young wizard, Harry Potter, ...
Our expert picks for the best grape Puff Bar alternatives are the Crush Grape Sirius Disposable Vape and the Iced Grape Bomb by Art-X. Both of these dispo...
The highest position in a company is the chairman. They're the core manager of a corporation. However, the chairman is technically at the tippy top o...
Under the 10-year Standard Repayment Plan, generally your loans will be paid in full once you have made the 120 qualifying PSLF payments and there will be...
Pregnancy without sperm — is it possible? Although you can get pregnant without having sexual intercourse, pregnancy without sperm is impossible. Without ...
By 2 years old they should have a vocabulary of up to 50 words and be able to say 2-3 word phrases. Bilingual children might have a slight speech delayspe...