Pain can occur because the tissue at and around the hole is being stretched or torn and therefore in some fashion damaged. This usually will cause pain di...
The minimal cash outlay gets you a basic two-blade razorrazorA razor is a bladed tool primarily used in the removal of body hair through the act of shavin...
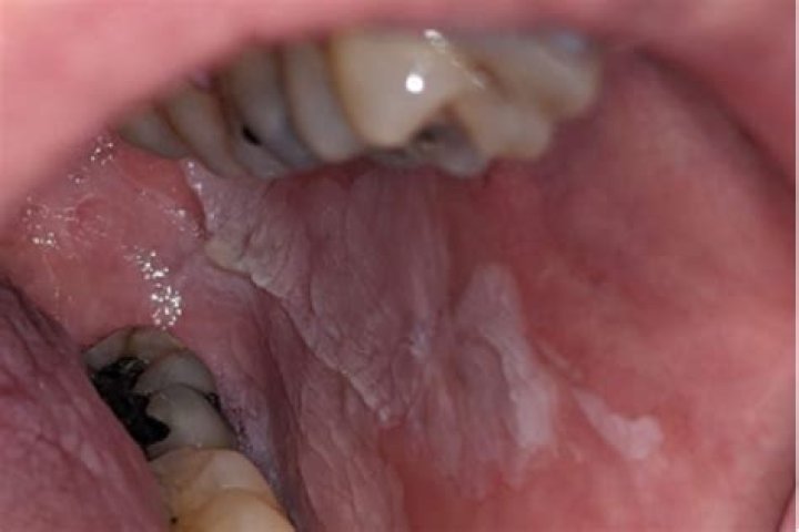
A case of subclinical OHL and candidiasis was identificated in a DM patient by cytopathologic analysis. PCR results demonstrated EBV-DNA in 65% of the pre...
If you have the ability to control the speed of your chip shots once it hits the green then you might as well pull the flagstick to allow the ball to use ...
Since most towels are made from cotton, including the ones at Towel Super Center, we suggest setting the wash temperature to at least 40 degrees on the Wh...
Is BMW maintenance expensive? Yes, BMW's maintenance cost after the warranty is more expensive than many other brands – luxury or not. A BMW can cost...
Haile Selassie I was Emperor of Ethiopia from 1930 to 1974. He rose to power as Regent Plenipotentiary of Ethiopia for Empress Zewditu from 1916. Did Hail...
Question: In the rain, a player holds an umbrella over his or her head with one hand while holing a short putt with his or her putter held in the other ha...
The Forest: 10 Best Weapons, Ranked8 Dynamite.7 Flare Gun.6 Modern Axe.5 Katana.4 Modern Bow.3 Molotov Cocktail.2 Upgraded Spear.1 Incendiary Spear. How g...
As scar tissue begins to form, it may appear red, raised, and hard, but over time it fades, flattens, and softens. Depending on the type of injury, the de...